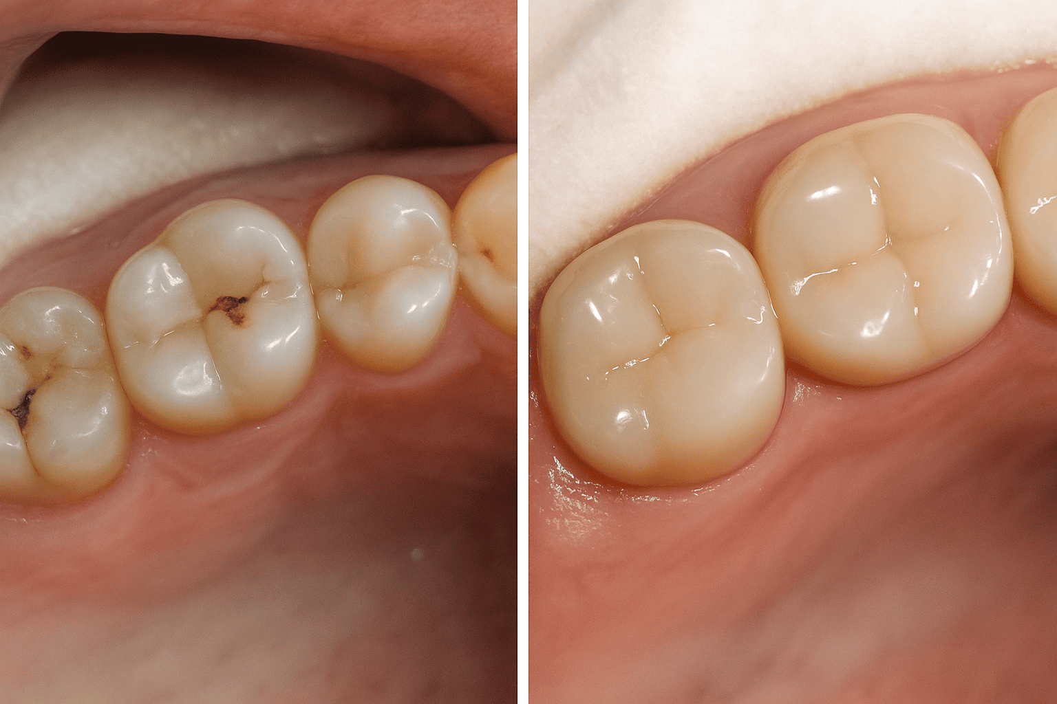
Поверхностный, средний и глубокий кариес
В случае нарушения целостности верхнего слоя эмали возникает так называемый поверхностный кариес (т. е. кариозный процесс протекает в пределах эмали). Если на этом этапе лечение кариеса не проводить, он переходит на следующую ступень. Сквозь рыхлую эмаль проникают те микроорганизмы, для которых питательной средой служит дентин, — и скорость разрушения зуба увеличивается. Так возникает средний кариес, который постепенно переходит в глубокий. При этой форме кариозного поражения наблюдаются значительные изменения дентина, что обуславливает жалобы пациентов: появляются боли от механических, химических и температурных раздражителей.
Если не обратиться к стоматологу, очень быстро возникают осложнения кариеса: пульпит (воспаление "нерва") или периодонтит (воспаление окружающих зуб тканей). Осложнения кариеса могут привести к потере зуба.
Лечение кариеса заключается в обработке полости зуба механическим инструментом для удаления разрушенных и инфицированных тканей, обработке полости дезинфицирующими медикаментами и дальнейшей пломбировкой полости. Мы используем самые современные материалы для пломбирования, которые делают пломбу практически невидимой, максимально гладкой и очень плотно прилегающей к зубу.